430685
介紹和解釋實驗室儀器的工作原理、操作步驟、維護保養、技術規范、應用案例等內容
在生物學研究中,除了某些細胞外的多肽激素和某些蛋白質與酶以外,經常會對細胞或組織進行破碎處理,使生物大分子充分釋放到溶液中,來獲得細胞內的物質且不喪失生物活性。由于細菌、酵母、真菌、植物都有細胞壁,但成分不同,且同類細胞結成的網狀結構不同,因此其細胞壁的堅固程度不同,總體呈現遞增態勢。動物細胞雖然沒有細胞壁,僅具有細胞膜,也需要一定的細胞破碎方法來破膜,達到提取產物的目的。

超聲破碎是目前在生物生產中最常用的破碎方法,其利用超聲波在液體中的空化效應,使液體產生空化泡,從而使液體中的固體顆粒或細胞組織破碎,被廣泛用于生物化學、微生物學、藥理學、物理學、動物學、農學、醫學、制藥等領域的教學、科研及生產。
新芝作為國內超聲波技術應用探索的先行者,設計有多款超聲粉碎提取系列供不同實驗需求選擇。
以下是SCIENTZ-IID超聲波細胞粉碎機、SCIENTZ08-IIIC非接觸式超聲波細胞粉碎機操作實例分享
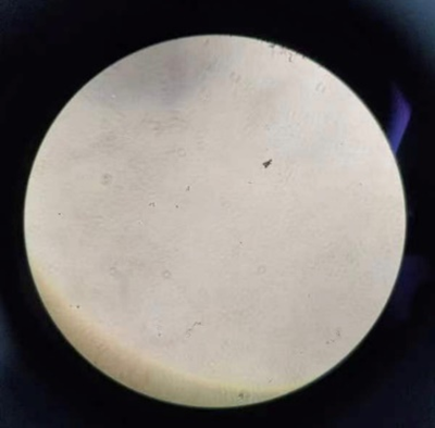
01未處理樣品顯微圖

(1ml濃度為10^6/ml的動物細胞溶液)
02處理后樣品顯微圖
? SCIENTZ-IID超聲波細胞粉碎機
設置參數:功率100W,頻率20kHz,程序控制超聲2s間歇2s,總時長5min

(1ml濃度為10^6/ml的動物細胞溶液)
? SCIENTZ08-IIIC非接觸式超聲波細胞粉碎機
設置參數:功率700W,頻率20kHz,程序控制超聲10s間歇15s,總時長30min

(1ml濃度為10^6/ml的動物細胞溶液)
結論
采用超聲波細胞粉碎機,高強度能量釋放,單個樣品處理快速;對于單批多個樣品,可以采用非接觸式超聲波細胞粉碎機,單次處理12份樣品,綜合處理時長約為接觸式的二分之一,高通量、高效率。




24小時服務熱線 18106650612